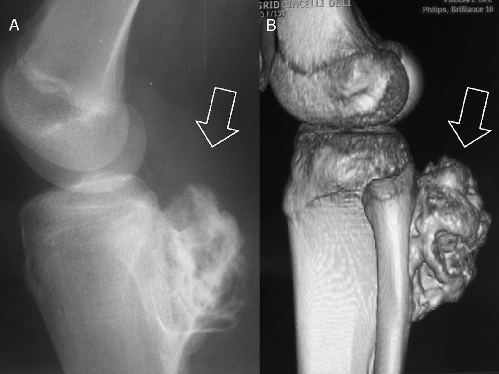
A resposta para essa pergunta é não. Embora o tumor ósseo seja mais raro ele ainda existe e atinge anualmente cerca de 2.700 pessoas, o crescimento de um tumor pode substituir o tecido saudável dos ossos por um anormal, o qual irá enfraquecer a estrutura óssea podendo provocar fraturas e lesões facilmente, formando assim um “caroço” ou nódulo.Ele pode ocorrer em qualquer osso do sistema esquelético de um ser humano, porém os mais comuns são os longos dos braços e coxas, coluna e pelve. Ele pode ser divido em dois, tumor ósseo primário que é quando o câncer atinge diretamente os ossos e tumor osso secundário ou metastático, onde ele começa em algum órgão e vai para os ossos, além disso, pode ser dividido em benigno quando é facilmente curado e não se propaga pelo corpo, e maligno que é grave e necessita de tratamento especifico que irá variar de acordo com a origem do tumor e as lesões causadas, o tratamento pode ser através de radioterapia, quimioterapia, cirurgia e em alguns casos o paciente pode receber uma prótese ou um osso doador, correndo risco de vida.
Os tumores mais comuns são:
- Osteossarcoma: afeta mais jovem do sexo masculino.
- Condrossarcoma: é mais comum entre as mulheres, porém é raro entre os jovens com menos de 20 anos, esse tumor irá se desenvolver na cartilagem.
- Tumor de Ewing: pode afetar todas as faixas etárias e não apenas em ossos.
Assim como em todos os outros tumores não há uma causa especifica para o aparecimento desse, mas acredita-se que se inicia através de um erro no DNA das células. Os principais sintomas do tumor ósseo são:
- Dor nos ossos
- Inchaço e sensibilidade na parte afetada
- Febre
- Perda de peso
- Fadiga
- Nódulos no corpo
- Ossos quebradiços
Se algum desses sintomas aparecerem procure um médico, previna-se!
Imagem disponível em:< http://romariorochaortopedista.com.br/tumores/tumor-osseo/ >. Acesso em: 20 mai. 2019
Aplicação Didática: Esse material pode ser usado após o conhecimento do sistema esquelético humano, é útil para introduzir conteúdos sobre doenças e anomalias dos ossos. Além disso, pode tirar possíveis duvidas sobre o assunto e saciar curiosidades e até mesmo fazer com que os alunos reflitam sobre a importância de ir ao médico caso algum sintoma venha a surgir.
Disponível em:< https://www.minhavida.com.br/saude/temas/tumor-osseo>. Acesso em: 19 mai. 2019.
Disponível em:< https://biosom.com.br/blog/saude/tumor-osseo/>. Acesso em: 20 mai. 2019.

Nenhum comentário:
Postar um comentário